Vitrocerâmica vs. Zircônia: Guia de seleção clínica para restaurações CAD/CAM holandesas 2026
2026-03-05
2026-04-05
Casos complexos de implantes – pontes de múltiplas unidades, implantes inclinados, zonas estéticas anteriores e carga imediata – continuam entre os procedimentos mais exigentes na odontologia nórdica. As elevadas expectativas dos pacientes em relação à estética natural, combinadas com normas regulamentares rigorosas e custos laborais crescentes, pressionam tanto as clínicas como os laboratórios dentários.
Os fluxos de trabalho analógicos tradicionais muitas vezes sofrem com distorção de impressão, perda de dados durante a transferência, altas taxas de refazer (normalmente 12-18%) e prazos de tratamento estendidos que frustram os pacientes e sobrecarregam os recursos.
Em 2026, as principais práticas escandinavas estão a adotar uma abordagem contínua fluxo de trabalho totalmente digital — desde o escaneamento intraoral até a sinterização final — para obter precisão superior, reduzir o tempo de atendimento e melhorar os resultados.
Este guia detalha cada etapa de uma solução digital integrada e mostra como ela aborda de forma confiável as restaurações de implantes mais difíceis, ao mesmo tempo que apoia as metas de sustentabilidade comuns nas clínicas nórdicas.
Os fluxos de trabalho digitais abordam essas questões minimizando o acúmulo de erros e permitindo a verificação virtual em todas as etapas.
Os scanners intraorais substituem impressões convencionais confusas, eliminando distorções causadas pelo encolhimento do material, bolhas ou movimento do paciente. Eles capturam dados detalhados de plataformas de implantes, dentes adjacentes, dentição oposta e tecidos moles em minutos.
Os corpos de digitalização modernos permitem o reconhecimento direto e a correspondência automática com bibliotecas de implantes, garantindo uma transferência de dados perfeita entre a clínica e o laboratório.
Nos países nórdicos, onde o conforto do paciente e o controle de infecções são prioridades, a digitalização digital reduz significativamente o tempo de atendimento (estudos mostram reduções de mais de 8 minutos por caso em comparação com os métodos tradicionais) e melhora a experiência do paciente.
Os dados podem ser compartilhados instantaneamente via nuvem ou redes locais seguras, permitindo colaboração em tempo real sem modelos físicos.
Usando os dados digitalizados, o software CAD cria modelos 3D precisos sem derramar moldes físicos. O design se concentra em:
Ferramentas virtuais de teste permitem que médicos e técnicos verifiquem o ajuste, a oclusão e a estética antes da fabricação. Isso reduz drasticamente os ajustes físicos e remakes.
Plataformas CAD/CAM odontológicas dedicadas oferecem extensas bibliotecas de implantes, interfaces fáceis de usar e geração direta de arquivos de fresamento com perda mínima de dados.
Estruturas complexas de implantes com rebaixos, angulações e pontes multi-unidades exigem usinagem simultânea de 5 eixos para acesso sem reposicionamento.
A produção com fixação única de estruturas integradas de pilar-coroa ou de ponte completa elimina erros cumulativos de múltiplas configurações.
A tecnologia de fresagem a seco produz restaurações limpas e de alta qualidade superficial a partir de zircônia, PMMA ou materiais híbridos – nenhum resíduo de líquido refrigerante significa nenhuma limpeza adicional e risco reduzido de contaminação do material.
Os percursos de ferramentas otimizados para restaurações de implantes proporcionam margens nítidas, lascas mínimas e excelente ajuste direto da máquina, pronto para sinterização.
A zircônia fresada requer sinterização precisa em alta temperatura (normalmente 1450–1600°C) para atingir densidade total e resistência mecânica enquanto controla o encolhimento de 20 a 25%.
Distribuição uniforme de temperatura, taxas de rampa precisas e tempos de espera estáveis são essenciais para evitar deformações, rachaduras ou inconsistências de cores.
Fornos de sinterização modernos com ciclos programáveis de vários estágios e até mesmo zonas de aquecimento garantem consistência entre lotes e alta translucidez para casos estéticos.
Uma vez sinterizadas, as restaurações muitas vezes necessitam apenas de polimento ou vitrificação mínimos antes da entrega.
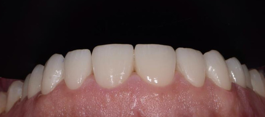
Uma clínica de Copenhaga tratou de um caso exigente envolvendo implantes inclinados na zona estética maxilar com elevadas exigências na linha do sorriso.
O planejamento tradicional estimou prazos mais longos e maior risco de refazer devido à angulação e aos desafios dos tecidos moles.
Usando o fluxo de trabalho totalmente digital:
Resultados:
A equipe relatou uma colaboração mais tranquila entre a clínica e o laboratório e maior confiança no tratamento de casos complexos semelhantes.
Um fluxo de trabalho totalmente digital, desde a digitalização até o projeto, fresamento de 5 eixos e sinterização controlada, fornece uma solução de circuito fechado que aumenta a precisão, a previsibilidade e a eficiência até mesmo nos casos de implantes mais desafiadores.
Para as clínicas e laboratórios nórdicos focados na qualidade, sustentabilidade e cuidados centrados no paciente, esta abordagem integrada está a tornar-se o novo padrão.
Fresamento a seco e úmido para zircônia, PMMA, cera com trocador automático de ferramentas.
saber mais
Digitalização 3D de alta precisão, calibração AI, precisão de arco completo.
saber mais
Sinterização completa em 40 minutos com 57% de translucidez incisal e resistência de 1050 MPa.
saber mais
Scanner ultrarrápido com precisão de 5 mícrons e exportação STL aberta.
saber mais
Ciclo de 40 min para 60 coroas, cadinho de dupla camada e aquecimento de 200°C/min.
saber mais
Impressora LCD de alta velocidade para guias, temporários, modelos com resolução 8K.
saber mais
2026-03-05

2025-10-11

2025-11-27