Scanners de laboratório dentário de alta velocidade em 2025: especificações YRC RS600 e RS1000 para fluxos de trabalho de implantes e ortopedia
2025-11-24
2026-03-29
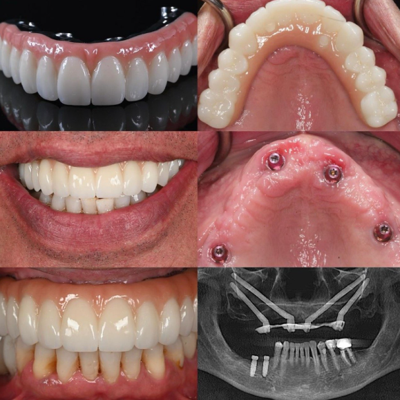
Em 2026, os implantes dentários de zircônia surgiram como uma opção totalmente cerâmica revolucionária para as zonas anteriores maxilar e mandibular, onde a estética, a harmonia dos tecidos moles e a previsibilidade a longo prazo são fundamentais. Ao contrário do titânio tradicional, a cor branca semelhante a um dente da zircônia elimina o sombreamento cinza através de biotipos gengivais finos, proporcionando pontuações estéticas superiores em rosa e branco, mantendo alta biocompatibilidade e baixa adesão bacteriana. Dados recentes de longo prazo confirmam taxas de sobrevivência que rivalizam com o titânio em casos cuidadosamente selecionados, com restaurações monolíticas de zircônia simplificando os fluxos de trabalho e reduzindo complicações. Este guia baseado em evidências sintetiza estudos clínicos de 2025 a 2026 para delinear avanços, seleção de casos e protocolos para resultados ideais na zona estética.
Os implantes de zircônia – principalmente policristalino de zircônia tetragonal estabilizada com ítria (Y-TZP) de uma ou duas peças – oferecem soluções sem metal que atendem às demandas dos pacientes por restaurações de aparência natural. Os avanços na modificação de superfícies (superfícies ZLA jateadas e gravadas com ácido) e nos projetos monolíticos CAD/CAM estreitaram a lacuna histórica na osseointegração e no desempenho mecânico, tornando-os ideais para pacientes com linhas de sorriso elevadas, biótipos finos e aqueles com sensibilidades metálicas.

Os implantes modernos de zircônia apresentam superfícies microrrugas otimizadas que promovem osseointegração comparável ao titânio em estudos de curto e médio prazo. A resistência à flexão excede 900 MPa, enquanto a tonalidade branca garante excelente transmissão de luz e fluorescência combinando com o esmalte natural da dentina. Coroas ou pilares monolíticos de zircônia eliminam os riscos de lascamento da faceta, com formulações de alta translucidez que agora rivalizam com o dissilicato de lítio na estética anterior.
As vantagens clínicas na zona estética incluem:
Estudos prospectivos e multicêntricos recentes fornecem dados robustos:
A análise de subgrupo confirma que a zircônia se destaca na estética anterior: pontuações PES mais altas e visibilidade zero do metal, mesmo com recessão menor. Embora alguns estudos observem uma sobrevida global ligeiramente inferior à do titânio em cenários de alta carga, a seleção rigorosa dos casos e os protocolos de colocação tardia produzem resultados comparáveis ao titânio na zona estética.
As complicações permanecem baixas: nenhuma fratura de implante em múltiplas séries de longo prazo, problemas mecânicos raros com designs monolíticos e resultados favoráveis relatados pelos pacientes (estética VAS 8.6+).
Indicações Primárias na Zona Estética:
Contra-indicações e mitigação de risco:
Otimização do fluxo de trabalho digital : Varreduras intraorais, planejamento assistido por IA e guias cirúrgicas impressas em 3D garantem um posicionamento subcrestal preciso. Coroas monolíticas de zircônia (aparafusadas ou ligadas a híbridos à base de Ti, quando necessário) agilizam a entrega com entrega no mesmo dia ou em laboratório curto.
Considerações Especiais:
Fatores do paciente – idade, oclusão, tabagismo e adesão – orientam as decisões finais. O design abrangente do sorriso digital e os modelos aumentam a previsibilidade.

Colocação : Retalho ou sem retalho com inserção controlada por torque. Posicionamento subcrestal da transição áspera-suave em zonas estéticas. ROG com substitutos ósseos e membranas quando o osso bucal é fino.
Restauração : Coroas monolíticas de zircônia de alta translucidez – aparafusadas para facilitar a recuperação ou cimentadas em bases de zircônia/titânio. Protocolos adesivos (primers MDP) garantem a retenção. O ajuste oclusal via análise digital evita sobrecarga.
Manutenção : Limpeza profissional anual, vigilância noturna para pacientes parafuncionais e monitoramento radiográfico em 1, 3, 5 e 10 anos. As profundidades de sondagem normalmente estabilizam em 2,7–3,0 mm com sangramento mínimo à sondagem.
Esses protocolos, combinados com os refinamentos do material 2026, proporcionam uma sobrevida superior a 95% em aplicações anteriores quando as indicações são compatíveis.
Os pacientes avaliam consistentemente os implantes de zircônia pela aparência natural e pelo conforto. Em 2.026 estudos de terapia imediata, a satisfação geral atingiu 94,99%, com melhorias significativas na qualidade de vida, fala e autoconfiança. A ausência de visibilidade do metal aumenta a aceitação psicossocial, particularmente em grupos demográficos de elevada procura estética.
A zircônia graduada de alta translucidez, protocolos de sinterização mais rápidos e sistemas híbridos de duas peças com plataformas em nível de tecido continuam a evoluir. Projetos específicos para pacientes orientados por IA e aprimoramentos de superfícies bioativas prometem uma integração ainda melhor. Embora o titânio continue sendo o padrão-ouro para casos posteriores de alta carga, o perfil totalmente cerâmico da zircônia consolida seu papel como solução inovadora para a estética anterior.
Os implantes de zircônia na zona estética representam uma mudança de paradigma em 2026 em direção à implantologia totalmente cerâmica e centrada no paciente. Com taxas de sobrevivência em 10 anos de até 97,7%, níveis ósseos estáveis, estética superior e alta satisfação do paciente, eles oferecem soluções previsíveis e livres de metal onde a harmonia natural é mais importante. Ao alinhar as propriedades dos materiais com as demandas específicas de cada caso – biótipos finos, linhas de sorriso acentuadas e prioridades estéticas – os médicos alcançam resultados que rivalizam ou excedem as opções tradicionais, ao mesmo tempo que preparam práticas à prova de futuro.
Fresamento a seco e úmido para zircônia, PMMA, cera com trocador automático de ferramentas.
saber mais
Digitalização 3D de alta precisão, calibração AI, precisão de arco completo.
saber mais
Sinterização completa em 40 minutos com 57% de translucidez incisal e resistência de 1050 MPa.
saber mais
Scanner ultrarrápido com precisão de 5 mícrons e exportação STL aberta.
saber mais
Ciclo de 40 min para 60 coroas, cadinho de dupla camada e aquecimento de 200°C/min.
saber mais
Impressora LCD de alta velocidade para guias, temporários, modelos com resolução 8K.
saber mais
2025-11-24

2025-09-30

2025-03-25