Mercado dental CAD/CAM 2025: demandas esenciales de escáneres intraorales por parte de dentistas de todo el mundo
2025-12-22
2025-09-09
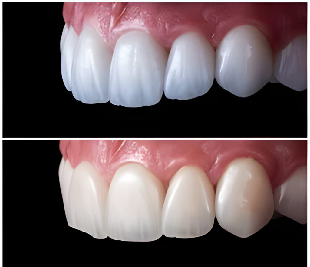
Seleccionar el material adecuado para las coronas dentales es fundamental para laboratorios y médicos. El disilicato de litio y la circonía ofrecen beneficios únicos, pero ¿cómo se comparan en resistencia al desgaste y estética?
El disilicato de litio, un cerámico de vidrio, sobresale en la estética con una translucencia 27% más alta que la circonía, ideal para coronas anteriores que exigen un brillo natural [1]. Su resistencia a la flexión de 400 MPa garantiza la durabilidad, aunque puede tener en cuenta los casos posteriores de alta carga si no se pule correctamente [2]. Los estudios confirman que el disilicato de litio pulido causa un desgaste mínimo al esmalte opuesto [3].
La circonia, con más de 1000 MPa de resistencia, no tiene comparación para coronas y puentes posteriores. Su superficie pulida reduce la abrasión, superando a las cerámicas más antiguas en las pruebas tribológicas [4]. La nueva circonía translúcida reduce la brecha estética, lo que la hace versátil.
Descubra nuestros bloques de disilicato de litio y circonio a Yucera para soluciones a medida.
Elija el disilicato de litio para la belleza anterior, circonio para la fuerza posterior, tanto eleva los resultados del paciente.
Referencias
[1] Journal of Esthetic Dentistry, 2023
[2] Materiales dentales, 2022
[3] Investigaciones orales clínicas, 2024
[4] Tribology International, 2023

2025-12-22

2024-11-17

2024-12-08